+385 52 621 921
uto/cet 11-19 h
sub 8-12 h
+385 52 621 921
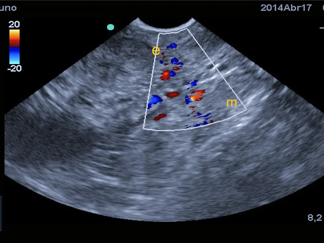
Ultrazvučna pretraga je važan dijagnostički alat u veterinarskoj medicini jer omogućuje veterinarima da dobiju detaljan uvid u unutarnje strukture tijela bez potrebe za invazivnim postupcima.

Tijekom ultrazvučne pretrage dio tijela je izložen bezopasnim, visokofrekventnim zvučnim valovima kako bi stvorio slike unutarnjih struktura tijela na ekranu uređaja.
Tako uživo možemo vidjeti kretanje, funkciju i strukturu unutarnjih organa vašeg ljubimca.
UZV se koristi u svrhu dijagnostike bolesti svih organa trbušne šupljine, srca i krvožilnog sustava.
