+385 52 621 921
uto/cet 11-19 h
sub 8-12 h
Ortopedska kirurgija ili ortopedija je grana kirurgije koja se bavi stanjima koja uključuju mišićno-koštani sustav. Ortopedski kirurzi koriste kirurška, kao i nekirurška sredstva za liječenje trauma mišićno-koštanog sustava, bolesti kralježnice, sportske ozljede, degenerativne bolesti, infekcije, tumore i urođene poremećaje.
Osteochondrosis dissecans je razvojna bolest koja se ponekad pojavljuje u brzorastućih pasa, kada brzi razvoj hrskavice može nadmašiti vlastitu opskrbu krvlju, uzrokujući abnormalni razvoj hrskavice koji rezultira šepanjem, boli i posljedičnim osteoartritisom.
U nekim slučajevima dolazi do odvajanja promijenjenih dijelova hrskavice od preostalog dijela površine hrskavice.
Genetski čimbenici najvažniji su uzročnici OKP-a, posebice pasminska predispozicija, najčešće kod divovskih pasmina.
Dijeta ili prehrambena ograničenja u prvih nekoliko mjeseci života, hormonska neravnoteža ili trauma zglobova također povećavaju rizik od OKP-a.
Većina pasa s OKP-om pokazuje kliničke simptome prije prve godine starosti, iako se ponekad, osobito kada je riječ o OKP-u ramena, klinički znakovi mogu pojaviti i kod starijih pasa. Klinički znakovi su varijabilni i ovise o vrsti zahvaćenog zgloba i veličini defekta hrskavice.
Najčešći klinički znakovi su šepanje, ukočenost, otok i bol u zglobu, smanjena aktivnost ili općenito "depresivno" ponašanje.
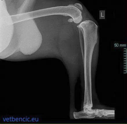
Prvi u nizu je ortopedski pregled, a zatim RTG snimanja suspektnih zglobova iz više projekcija, obično u sedaciji.
OCD se može pojaviti istovremeno s drugim razvojnim bolestima (npr. displazija lakta) i tada pacijentu mogu biti potrebne napredne dijagnostičke metode (CT, MRI).
Kako se OCD počinje razvijati u određenom zglobu; tada se na tom zglobu počinje razvijati osteoartritis (upala zgloba).
Kada se osteoartritis jednom počne razvijati, ne može se izliječiti, ali se kod većine pacijenata može uspješno kontrolirati.
Postoji nekoliko mogućnosti liječenja OKP-a ramena, ovisno o kliničkoj i rendgenskoj slici tog pacijenta. Konzervativno liječenje obično je prikladno za bolesnike s malim defektom hrskavice i minimalnom nelagodom, no većina pacijenata zahtijeva kirurško rješenje:
Postoji nekoliko oblika nestabilnosti ramena:
Dijagnoza nestabilnosti ramena temelji se na testovima koji se obično izvode u sedaciji ili općoj anesteziji (RTG snimanje ramena radi provjere osteoartritisa i/ili MRI).
Liječenje nestabilnosti ramena ovisi o stupnju uganuća i istegnuća, kao i o stupnju nestabilnosti.
Ozljede niskog stupnja najčešće se liječe konzervativno, protuupalnim lijekovima, smanjenjem aktivnosti, fizikalnom terapijom i hidroterapijom.
Plan fizikalne terapije, koja se provodi kod kuće, izrađuje se za svakog pacijenta pojedinačno.
Ozljede visokog stupnja zahtijevaju kirurško liječenje.
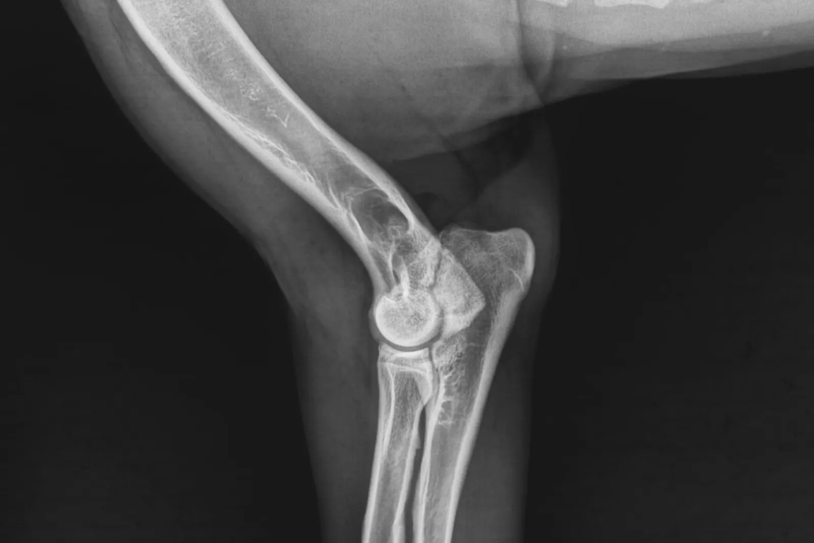
Riječ displazija znači nepravilan razvoj. Razvojna bolest lakta je možda bolji naziv, jer pri spomenu displazije, većina ljudi pomisli na displaziju kuka.
Lakat se sastoji od tri kosti, i ako one ne naliježu apsolutno savršeno (posljedica nepravilnog razvoja), dolazi do krivog rasporeda sila na određenim mjestima u zglobu lakta. Oblici primarne bolesti hrskavice također mogu dovesti do lošeg razvoja zgloba lakta, što rezultira ozbiljnim kliničkim znakovima.
Kod displazije lakta, sile koncentrirane na određenim točkama u zglobu neće samo dovesti do osteoartritisa (kao kod displazije kuka), već i do manjih patoloških promjena, kao što su prijelomi unutar zgloba, koji se moraju rješavati odvojeno ili zajedno s osteoartritisom zgloba. Termin displazija lakta koristi se kao sveobuhvatni naziv za to, jer su manifestacija iste zglobne patologije - nepravilnog razvoja zgloba. Stoga ih u praksi vidimo zajedno na istom zglobu.
Displazija lakta je najčešći uzrok šepavosti prednjih nogu u mladih pasa, velikih i divovskih pasmina. Većina pasa šepa na jednu, ali mogu šepati i na obje prednje noge. Neki psi koji šepaju na obje prednje noge neće šepati, već će imati neobičan hod.
Okidač za šepanje obično je produljeni odmor ili aktivnost.
Mnogi psi s displazijom lakta šepaju nakon spavanja, kad se zagriju prestanu te nakon duže aktivnosti ponovo šepaju.
Kod većine pasa se ova bolest dijagnosticira prije druge godine života, ali kod nekih se manifestira tek u starijoj dobi.
Displazija lakta i osteoartritis lakta najčešći su uzroci šepavosti prednjih nogu u pasa bilo koje dobi.
Stoga na displaziju lakta treba posumnjati kod svakog psa koji šepa na prednje noge, ako uzrok šepanja nije trauma.
Ova je bol u osnovi genetska, iako na nju utječu i naknadni čimbenici, poput pretilosti u štenećoj dobi.
Kod većine pasa s displazijom lakta, patologija uključuje koncentraciju abnormalnih sila na dijelu zgloba koji se naziva koronoidni nastavak ulne. Te abnormalne sile uzrokuju mikroskopske prijelome na koronoidnom procesu, a kod većine pasa se mali dio ostruge ili cijela ostruga odvoji od ostatka kosti.
Ovaj problem se naziva fragmentirani koronoidni proces (FCP) i jedan je od procesa koji spadaju u displaziju lakta.
Standardna dijagnostička procedura je RTG, ali ponekad je potrebno učiniti i CT jer daje informacije o sitnim koštanim patologijama ispod hrskavice.
Kako bi se odredio optimalni tretman za displaziju lakta, potrebno je identificirati i neutralizirati razloge.
Suptilne razlike u rastu dviju kostiju koje čine podlakticu (radijus i ulna) mogu uzrokovati ozbiljno preopterećenje koronoidnog procesa na ulni. Kod nekih pasa problem neusklađenosti se riješi i prije displazije lakta, no posljedice ove neusklađenosti su stres frakture koronoidnog nastavka.
Liječenje ovog problema obično je SCO (subtotalna koronoidna ostektomija).
Odstranjuje se potpuno fragmentirani dio koronoidnog izdanka, ali i onaj koji nije fragmentiran, jer može pridonijeti patologiji zgloba koji ima abnormalnu konformaciju i sklonost upali.
Kada je ova vrsta nepodudarnosti stalna, predlaže se liječenje PUO (proksimalna ulnarna osteotomija). Na taj način dužoj kosti (ulni) osiguramo odgovarajuće mjesto u zglobu.
Kod nekih pas, stresni prijelomi koronoidnog nastavka ulne mogu biti posljedice stalnog udara glave radijalne kosti. Anatomska struktura koja najviše pridonosi ovom ponavljajućem udaru je grana tetive bicepsa. To može biti zato što svaki put kada dvoglavi mišić kontrahira, radijus utječe na ulnu u regiji koja se naziva radijalni zarez na ulni. (engl.radial notch).
Ovaj problem se rješava kirurškom tehnikom koja se zove tendinizacija tetive bicepsa.
U nekim slučajevima, rez na ulni je izrazito eliptičan ili je jednostavno pogrešnog oblika i povezan s ramenom kosti, što dovodi do ozbiljnog preopterećenja. Kod nekih pasa to uzrokuje ozbiljnu eroziju hrskavice. Kada se to dogodi, mogućnosti liječenja ovise o entitetu bolesti koji prati problem u razvoju i stupnju osteoartritisa koji se razvio.
Svaki pas s displazijom lakta ima neki stupanj osteoartritisa u vrijeme dijagnoze displazije. To može biti posljedica slomljenog ulomka, koji se u zglobu ponaša kao "kamen u cipeli", ili neliječene inkongruentnosti zgloba radijusa i ulne ili humerusa i ulne.
Kirurško liječenje displazije lakta ima za cilj liječiti trenutni izvor boli i minimizirati vjerojatnost progresije osteoartritisa.
Konzervativno liječenje displazije lakta ima za cilj smanjiti bol i očuvati pokretljivost zgloba, ali nema mogućnosti spriječiti progresiju osteoartritisa. Klinički učinak osteoartritisa lakta je nepredvidiv i bez obzira na liječenje će sigurno napredovati do određenog stupnja.
Kod nekih pasa šepanje može biti blago i povremeno, kod drugih je stalno i jako. Kada dođe do trajne erozije hrskavice, obično u unutarnjem dijelu lakta, nastaje trenje između humerusa i koroniodnog nastavka ulne.
To može biti posljedica bilo kojeg oblika neusklađenosti lakta.
Ovisno o stupnju neusklađenosti odabiremo kiruršku metodu:
Obično vlasnici primijete šepanje i ukočenost ekstremiteta, a veterinari ustanove bolove u laktu. U tim je slučajevima potrebno obaviti ortopedski pregled i utvrditi točan uzrok boli. Mi Vam dalje možemo predložiti daljnje dijagnostičke metode te dogovoriti moguću kiruršku metodu rehabilitacije.
Prva dijagnostička metoda koja se koristi u dijagnostici displazije lakta je RTG. Rendgenske snimke obično pokazuju promjene na oboljelim zglobovima, ali ne uvijek.
Ponekad promjene mogu biti vrlo suptilne i teško uočljive, što zbog vrste rendgenske snimke, što zbog položaja lakta tijekom snimanja. U dijagnostici displazije lakta, osim radiografije, nekada treba napraviti CT i artroskopiju.
Artroskopija je postupak koji se izvodi u općoj anesteziji, a omogućuje pnam anoramski prikaz unutrašnjosti zgloba. Kod pasa kod kojih je potrebno liječenje oba lakta, artroskopija i operacija izvode se kao jedan kirurški zahvat u općoj anesteziji. Ako se problem riješi artroskopski, pacijent se puno brže oporavlja nego kada se radi klasičnom operacijom.
Konzervativno liječenje je opcija kod pasa koji imaju osteoartritis uz displaziju. Konzervativno liječenje se koristi kao dodatak kirurškom zahvatu, a temelji su regulacija tjelesne mase (koja je važna kod svih ortopedskih problema i bolesti), fizikalna terapija, prilagodba aktivnosti i steroidni ili nesteroidni protuupalni lijekovi protiv bolova.
Fizikalna terapija sama po sebi neće otkloniti artritične promjene u zglobu, niti utjecati na bol, ali će značajno pridonijeti pokretljivosti artritičnog zgloba ili poboljšati oporavak artritičnog zgloba nakon operacije.
U nekim slučajevima je fokus je samo na fragmentiranom koronoidnom procesu. Kod pasa kod kojih je artroskopski odstranjen ulomak, CT-om i artroskopijom se vidi trenutno stanje u zglobu, odnos radijusa i ulne te preostali dio koronoidnog nastavka, iz čega se vrši procjena mikrofraktura. Velik broj pasa se vrlo brzo oporavi nakon artroskopskog uklanjanja ulomka, a to poboljšanje ostaje dugoročno. Naravno, kao što smo već rekli, dugoročna prognoza ovisi o stupnju osteoartritisa.
U nekim slučajevima prepoznajemo specifičan uzorak stres frakture na koronoidnom nastavku ulne, što je posljedica radijalno - ulnarnog konflikta. Ovom sukobu pridonose pretjerane ponavljajuće sile, neprikladne za jednu granu biceps mišića koja zahvaća sam koronoidni nastavak. Iako patologija nije u samoj tetivi, prekomjerne sile u zglobu s lošom geometrijom dovele su do mikrofraktura i konačne fragmentacije. Ovaj postupak dovodi do neutralizacije tih sila. Preostali dio mišića bicepsa koji se veže za radijus nije problematičan, a kako biceps igra ulogu u fleksiji lakta zajedno s m. brachialis, ova metoda ne ostavlja mehaničke posljedice.
Kod difuznih stresnih fraktura na cijelom koronoidnom nastavku ulne potrebno je odstraniti veliki dio koronoidnog nastavka. Nakon ovog zahvata oporavak je izuzetno dobar, brz i dugotrajan. Naravno, postoji određeno napredovanje osteoartritisa kod svih pasa s bolešću medijalnog dijela lakta. Uvijek se preporučuje komplementarna fizikalna terapija.
PAUL je intervencija koja podrazumijeva kontrolirani rez na samoj ulni. Za fiksaciju koristimo Kyon pločicu i vijke dok kost ne zaraste u novom položaju. Cilj kirurškog zahvata je rasteretiti medijalni segment lakta, smanjiti bol i poboljšati pokretljivost ekstremiteta.
Kod nekih zglobova stres frakture koronoidnog nastavka ulne nastaju kao posljedica kratkog radijusa, a takva je nepodudarnost trajna. S ovakvim laktovima cilj je smanjiti bol i spriječiti daljnje napredovanje osteoartritisa. To se radi tako da se napravi rez na ulni ispod zgloba lakta. Ova tehnika se može koristiti kada postoji sukob između humerusa i lakatne kosti.
Osteochondrosis dissecans je razvojna bolest koja se javlja unutar normalne diferencijacije stanica hrskavic koja rezultira neuspješnim enhondralnim okoštavanjem. (Osnovni procesi u fetalnom razvoju koštanog sustava i formiranje kosti).
U brzorastućih pasa brzi razvoj hrskavice može nadmašiti vlastitu opskrbu krvlju, uzrokujući abnormalni razvoj hrskavice zbog kojeg dolazi do šepanja, boli i posljedičnog osteoartritisa. U nekim slučajevima dolazi do odvajanja promijenjenih dijelova hrskavice od preostalog dijela površine hrskavice OCD.
Genetski čimbenici najvažniji su uzrok – dakle postoji pasminska predispozicija. Najčešće je imaju labradori, zlatni retriveri te većina divovskih pasmina.
Loša ili prekomjerna prehrana u prvih nekoliko mjeseci života, hormonska neravnoteža ili trauma zglobova također povećavaju rizik od OKP-a. Većina pasa s OKP-om pokazuje kliničke simptome prije prve godine starosti, iako se ponekad, osobito kada je riječ o OKP-u ramena, klinički znakovi mogu pojaviti i kod starijih pasa.
Klinički znakovi su varijabilni i ovise o vrsti zahvaćenog zgloba i veličini defekta hrskavice. Najčešći klinički znakovi su šepanje, ukočenost, otok i bol u zglobu, smanjena aktivnost ili općenito "depresivno" ponašanje koje upućuje na tzv. tihu bol.
Dijagnostika OKP-a je multimodalni proces.
Primaran je ortopedski pregled, a zatim RTG snimanja suspektnih zglobova iz više projekcija, pod sedacijom. OCD se može pojaviti istovremeno s drugim razvojnim bolestima (npr. displazija lakta) i tada mogu biti potrebna CT ili MRI simanja.
Kako se OCD počinje razvijati u određenom zglobu, na tom zglobu se razvija i osteoartritis (upala zgloba i pripadajućih kostiju). Kada se osteoartritis jednom počne razvijati, ne može se izliječiti, ali se kod većina pacijenata može uspješno kontrolirati.
Liječenje displazije lakta ovisi o veličini defekta hrskavice:
Nesrašteni ankonealni proces je stanje u kojem se koštani izdanak u laktu odvaja od ulne. Taj odvojeni fragment kosti uzrokuje bol i šepanje te doprinosi oštećenju zgloba lakta. Najčešće se dijagnosticira kod njemačkih ovčara i bernskih planinskih pasa. Posljedica je neusklađenosti lakta (nepodudarnost ulne ili sindrom kratke ulne).
Kod većine pasa ovo stanje uzrokuje jaku bol i očito šepanje.
Postizanje optimalnog ishoda ovisi o ranoj dijagnozi i liječenju.
RTG snimanje iz više projekcija, u sedaciji. U nekim slučajevima imamo suptilne promjene, kada ankonealna izraslina ostane blago priljubljena uz kost, pa je za dijagnostiku potreban CT. U pasa s nesjedinjenim ankonealnim izdancima najbolji se ishod postiže ranom kirurškom intervencijom:
Karpalna hiperekstenzija je najčešća ozljeda koja se događa kod velikih aktivnih pasa, ali mogu je imati i mali psi. Znakovi upozorenja za ovo stanje su šepanje, oticanje karpalnog zgloba, vidljivo prilijeganje šape na tlo i prekomjerno pomicanje karpusa (hiperekstenzija).
Tri su uobičajene ozljede karpalnog zgloba koje uzrokuju hiperekstenziju:
Oboljeli štenci hodaju s prekomjernom ekstenzijom karpusa (taj hod više liči na medvjeđi nego na pseći). Najčešće su zahvaćena oba karpalna zgloba, a u nekim ekstremnim slučajevima zahvaćeni su i tarzalni zglobovi. Štenci koji imaju labavost ligamenata i posljedičnu hiperekstenziju karpusa kao posljedicu dugotrajne imobilizacije imaju problem samo s bandažiranom nogom.
Postoje različiti stupnjevi karpalnog uganuća. Stupanj šepanja i otoka zglobova ovisi o težini traume. Neki psi će imati očiti nepravilan stav s neadekvatnim odstupanjem ozlijeđenog zgloba.
To se najčešće događa kod starijih pasa, a tipično je za, primjerice, škotske ovčare. Tendencija jednog ili oba karpalna zgloba je postupno olabavljenje, sve do potpunog kolapsa. Takve i slične tegobe mogu se javiti u više zglobova i tada govorimo o poliartritisu. Takav je, primjerice, reumatoidni artritis koji se javlja i kod pasa i kod mačaka i može se pojaviti u svim zglobovima.
Dijagnostika karpalne hiperekstenzije sastoji se od nekoliko koraka. Prvi u nizu je ortopedski pregled, a zatim rendgensko snimanje, potencijalno pod sedacijom ili općom anestezijom. U sklopu radiografske studije izrađuju se "stres projekcije" koje podrazumijevaju rendgensku projekciju karpusa u položaju koji u potpunosti odražava stupanj hiperekstenzije. To omogućuje ortopedu da vidi koji su ligamenti oštećeni i olakšava donošenje odluka o liječenju. Slučaj vašeg psa može zahtijevati napredne CT ili MRI dijagnostičke metode.
Na temelju kompletne dijagnoze odlučujemo je li pacijentu dovoljno konzervativno liječenje ili je potrebno kirurško rješenje. Ortopedski pregled nam daje predodžbu o prirodi problema. Posebni rendgenski testovi daju informacije o tome koji su ligamenti oštećeni. U bolesnika u kojih postoji sumnja na prijelom, ali nije vidljiv na rendgenskoj snimci, preporučuje se CT. MRI također može pružiti korisne informacije. Koji je tretman prikladan za karpalnu hiperekstenziju ovisi o temeljnom uzroku.
Konzervativno liječenje uključuje udlage ili zavoje i fizikalnu terapiju. Ovo je opcija za razvojnu hiperekstenziju i za blage hiperekstenzije. Karpalni zavoji izrađuju se po mjeri. Ako je uzrok hiperekstenzije prijelom, tada se radi kirurška sanacija prijeloma i potpuna stabilizacija zgloba.
Ovisno o stupnju ozljede, karpus može biti djelomično ili potpuno srastao.
Pankarpalna artrodeza spaja antebrahium s metakarpalnim kostima preko karpalnog zgloba kombinacijom pločica i vijaka.

Displazija kukova je genetska bolest pasa koja ima tendenciju razvoja "opuštenosti" kukova tijekom ranog razvoja psa. Budući pacijenti se obično rađaju s morfološki normalnim kukovima, noeka tkiva (ligamenti i zglobna čahura) koja inače stabiliziraju zglob kuka postaju mlitava u prvih nekoliko tjedana života. Posljedica ove labavosti je da normalno sukladan zglob postaje nesukladan – dakle, glava bedrene kosti i acetabulum s vremenom postaju previše spljošteni i više pravilno ne naliježu.
Psi s displazijom kuka s vremenom u zahvaćenom zglobu dobiju osteoartritis.
Kod većine pasa s displazijom zahvaćena su oba kuka.
Displazija prvenstveno ima genetsku etiologiju, iako pretilost u prvim mjesecima života može utjecati na razvoj kliničkih manifestacija kod pasa koji imaju gene za displaziju. Trenutna istraživanja pokazuju da je više od 100 gena uključeno u razvoj displazije kukova. Važno je znati da utjecaj okoline ne može uzrokovati displaziju kukova, ali može dovesti do kliničkih manifestacija kod životinja koje nose gene za displaziju kukova.
Nema dokaza da pretjerana aktivnost u dobi štenaca dovodi do razvoja displazije kukova. Displazija kukova najčešće je ortopedsko stanje kod pasa. Najviše su pogođeni veliki psi, iako mogu oboljeti i mali psi i mačke.
Brojni su klinički znakovi displazije kukova, a najčešće se dijagnosticira između 6. i 12. mjeseca života.
Ukočenost ekstremiteta, izbjegavanje aktivnosti, poteškoće s ustajanjem i ležanjem, otežano penjanje i spuštanje stepenicama, nepravilan hod i šepanje na jednu ili obje stražnje noge.
Psi kod kuće rijetko pokazuju bol na način na koji većina vlasnika to može primijetiti (dahtanje, cviljenje), iako je ovo stanje iznimno bolno tijekom ortopedskog pregleda koji uključuje istezanje kukova.
Bol je uzrokovana ponavljajućim naporima zbog labavih stabilizatora kuka i mikrofraktura površine kosti i hrskavice koja se trljaju jedna o drugu.
Erozije hrskavice se s vremenom povećavaju i pogoršavaju, a bol je rezultat cjelokupnog zglobnog procesa koji se naziva osteoartritis.
Klinički znakovi koje vlasnik može primijetiti kod kuće: ukočenost ekstremiteta, izbjegavanje aktivnosti, otežano ustajanje i ležanje, otežano penjanje i spuštanje stepenicama, nepravilan hod i šepanje na jednu ili obje stražnje noge, rijetko dahtanje ili cviljenje (u jako uznapredovalom stupnju). Problematično je što do osteoartritisa (OA) dolazi u poodmakloj dobi, pa vlasnici smatraju da se životinja manje kreće zbog godina, a ne zbog problema (ako izostaje očito šepanje).
Kod sumnje na displaziju, potrebno je napraviti RTG kukova u sedaciji.
Potrebno je provesti ORTOLANI test za procjenu opuštenosti kukova, a ponekad su potrebne i napredne dijagnostičke metode kao što su CT ili MRI.
Kada je dijagnostika završena, predložiti ćemo najbolju terapiju za pacijenta.
Najbolji način liječenja displazije kuka ovisi o mnogim čimbenicima, no najvažniji je stupanj težine kliničke slike. Kod nekih pasa klinička slika je blaga, kod nekih je dijagnoza displazije slučajan nalaz, otkriven tijekom razvojnog snimanja za displaziju kukova.
Kod nekih pasa klinički simptomi su očiti i terapija ne bi trebala liječiti samo trenutni problem, već i potencijalne probleme u budućnosti.
Konzervativno liječenje displazije kuka preporučuje se u bolesnika u kojih je displazija kuka slučajan nalaz.
U pasa s kliničkim simptomima odgovor na konzervativno liječenje ovisi o jačini boli koja potječe od displastičnog kuka.
Konzervativno liječenje uključuje kontrolu tjelesne težine, kontrolu aktivnosti, fizikalnu terapiju i protuupalne lijekove protiv bolova. Kratkoročno, većina pasa reagira na ovaj tretman. Nažalost, napredak je rijetko dugoročan. Kako vrijeme prolazi, najveći broj pasa zahtijeva sve veće ograničenje aktivnosti i stalnu potporu protuupalnim lijekovima protiv bolova.
Kirurško liječenje displazije kuka:
Operacija uključuje induciranu prijevremenu fuziju zdjelice, kako bi se promijenio rast, tako da se poboljša spoj između"loptice i čašica" (glave femura i acetabuluma). Ovo je jednostavan postupak koji uključuje električnu kauterizaciju pubičnog područja (na donjoj strani zdjelice). Da bi ovaj postupak bio učinkovit, pacijent ne smije biti stariji od 5 mjeseci, a stupanj opuštenosti kukova mora biti blag do umjeren. JPS se smatra profilaktičkom metodom. Svi psi kod kojih se obavlja ovaj zahvati moraju biti kastrirani.
Riječ je o kirurškoj metodi koja podrazumijeva kiruršku modifikaciju postojećeg zgloba kuka s ciljem poboljšanja prianjanja glave bedrene kosti u postojeću čašicu kuka.
Na kosti se naprave tri reza oko čašice i tako stvoreni segment se rotira do točke kako bi se omogućilo optimalno prijanjanje. Koštani segmenti se fiksiraju u novom položaju uz pomoć ploče i vijaka. Sastanje traje između 4 i 6 tjedana. TPO je učinkovit samo kod pasa koji imaju opuštene kukove, ali ne i druge značajke displazije ili osteoartritisa. Procjena za TPO uključuje niz specifičnih testova i korištenje naprednih dijagnostičkih postupaka.
U odgovarajućih pasa preporuča se artroskopija za procjenu stanja hrskavice.
Za nijansu jednostavniji zahvat od TPO.
Vrlo složeni operativni zahvat koji uključuje odsijecanje cijelog bolesnog zgloba. Glava bedrene kosti se zamjenjuje metalnim implantatom, a zglobna čašica plastičnim ili metalnim implantatom. Implantati su pričvršćeni za kost uz pomoć koštanog implantata ili imaju spužvastu ovojnicu kroz koju kost može prodrijeti. Umjetni kuk se najčešće ugrađuje velikim psima, ali se može ugraditi i malim psima i mačkama. Kod pacijenata kod kojih je potrebna intervencija na oba kuka, intervencije se nikad ne rade istodobno zbog većeg rizika od komplikacija. Uspješnost ove intervencije je 90-95%, a nakon nekoliko dana pacijenti normalno hodaju. Većini pasa vraća punu aktivnost.
U slučaju kada se umjetni kuk ne može ugraditi (financijski razlozi ili kada individualna anatomija onemogućuje THR), ovo je jedini izbor. Ovim se zahvatom potpuno odstrane glava i vrat bedrene kosti i tako nastane "lažni" zglob. Bol nestaje jer se eliminira kontakt s kostima, ali nastanak "lažnog" zgloba ograničava njegovu funkciju, pa oporavak kod velikih pasa može biti nepredvidiv. Nakon ovog zahvata iznimno je važna fizikalna terapija koja uvelike utječe na ishod, kao i održavanje idealne tjelesne težine.
Prednji križni ligament je traka vlaknastog tkiva koja povezuje bedrenu kost (femur) s potkoljenicom (tibijom), sprječavajući pomicanje tibije prema naprijed u odnosu na bedrenu kost. Također sprječava pretjeranu ekstenziju i rotaciju koljena. Kod ljudi je trauma ovog ligamenta česta pojava, najčešće kao sportska ozljeda. Priroda bolesti kod pasa potpuno je drugačija – ligament rijetko pukne zbog traume, češće se radi o degenerativnom procesu koji nastaje s vremenom, kada se ligament "pohaba".
Kod većine pasa, ruptura je posljedica dugotrajnog degenerativnog procesa, jer niti koje čine ligament s vremenom slabe. Uzrok tome je još uvijek nepoznat, ali se vjeruje da najveći utjecaj imaju genetski čimbenici, uz značajnu pasminsku predispoziciju (labrador, rottweiler, bokser, zlatni retriver, westie, newfoundlander).
Genetski uzrok isključuje se procjenom obiteljskih linija, (obično su preci imali rupturu ligamenata na oba koljena, ali teško da ćete to saznati od neodgovornih uzgajivača). Pretilost, upalna stanja zglobova, hormonska neravnoteža i individualne konformacije također igraju ulogu u uzroku bolesti.
Šepanje je najčešći klinički simptom prednjih križnih ligamenata.
Kod nekih pasa se može dogoditi iznenada, tijekom ili nakon aktivnosti. Neki psi dobiju rupture na oba koljena – u tom slučaju imaju problema sa stajanjem.
U teškim slučajevima psi ne mogu ustati i mogu izgledati poput neurološkog slučaja. Pucanje ligamenta izaziva kaskadu reakcija koja dovodi do boli u koljenu i šepavosti Osteoartritis je već prisutan i u najranijoj fazi.
Na kritičnoj točki puknuća ligament gubi svoju mehaničku funkciju, nakon čega nakon bolnog šepanja slijedi mehaničko šepanje. Jedan od čimbenika koji utječu na mehaničko šepanje je oblik vrha tibije, koji ima jako izražen nagib prema nazad. Posljedica ovog nagiba kod pasa s oštećenim prednjim križnim ligamenrom je da bedrena kost može skliznuti niz nagib svaki put kada se težina prebaci na tu nogu.
Kod pasa s očuvanim ligamentima nagib je problem samo ako je jako strm i tada imamo predisponirajuće faktore za ovu bolest.
Kod nekih pasa mehanički nedostaci rezultiraju traumom drugih struktura u zglobu, kao npr. meniskusa (hrskavice koja apsorbira udarce). Kada bedrena kost klizi niz kosinu tibije, može oštetiti tu hrskavicu, posebno središnju stranu. Dijagnoza rupture prednjeg križnog ligamenta obično se postavlja tijekom ortopedskog pregleda, odnosno specifičnih testova za koljeno.
Kod pasa s djelomičnim puknućem ili ranom degeneracijom ligamenta potrebno je RTG snimanje ili magnetska rezonanca (u sedaciji). Kod većine pasa se koristi i eksplorativna artroskopija za potvrdu dijagnoze i procjenu stanja hrskavice. Konzervativno liječenje ove bolesti se rijetko preporučuje, osim u slučajevima rizične opće anestezije.
Ključne točke konzervativnog liječenja su kontrola tjelesne težine, fizikalna terapija, kontrola aktivnosti i nesteroidni protuupalni lijekovi protiv bolova.
Sve ovo je vrlo važno i u kratkoročnom zbrinjavanju kirurški liječenih pasa, iako je primarni cilj operacije minimizirati potrebu za dugotrajnom kontrolom aktivnosti i lijekovima.
Psi teži od 15 kg imaju vrlo male šanse da postanu klinički normalni bez operacije.
Psi lakši od 15 kg i mačke imaju veće šanse, iako oporavak traje mjesecima i rijetko je potpun.
Kirurško liječenje ogleda se u tehnikama koje imaju za cilj nadomjestiti oštećeni ligament i onima koje uključuju potpuno uklanjanje pokidanog ligamenta i izradu reza na tibiji, čime se mijenjaju sile koje djeluju na zglob koljena.
U veterini se već jako dugo provode različite kirurške tehnike koje su analogne tehnikama ugradnje umjetnih ligamenata koje se koriste u humanoj medicini. Tehnike koje koriste lokalni prijenos tkiva imaju najmanje šanse stabilizirati zglob i omogućiti mu da funkcionira kao normalan zglob ili približno normalan zglob, jer amjensko tkivo nije tako čvrsto kao ligament i nalazi se u istom biomehaničkom okruženju koje je uzrokovalo rupturu pravog ligamenta.
Koriste se dugi niz godina. To su jednostavne tehnike koje su omogućile pacijentima da se vrate gotovo normalnim aktivnostima. Primarni nedostaci ovih tehnika su njihova nepredvidljivost u ranim fazama oporavka i mehanička ograničenja kod teških i atletskih pasa.
Neki psi još malo šepaju dok ne dođe do poboljšanja. Nekima je potrebno nekoliko tjedana do oporavka, ali također mogu imati stalnu nestabilnost i bol u koljenu. Varijacije ovih tehnika se najčešće preporučuju kod pasa s traumatskom rupturom prednjih križnih ligamenata i kod pacijenata koji su oštetili nekoliko stabilizirajućih čimbenika u koljenu. Tijekom desetljeća, materijali kao što su najlon i mnogi drugi postavljani su između kosti na stražnjoj strani femura (fabella) i tunela na vrhu tibije. To se zove bočni šav i uspjeh ovisi o vrsti materijala i tehnici.
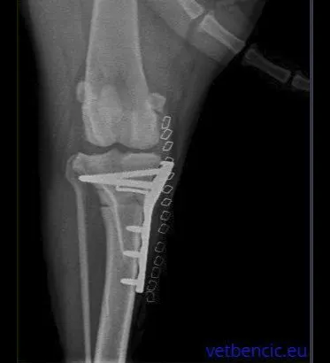
Ove tehnike mijenjaju geometriju koljena na takav način da ligamenti više nisu potrebni za održavanje stabilnosti koljena. Postoji nekoliko tehnika koje uključuju promjenu oblika vrha tibije tako što se napravi rez na kosti i na taj način se postavi u novi položaj:
Ova operacija uključuje pravljenje polukružnog reza na vrhu tibije i rotiranje platoa tibije dok prethodni nagib kosti više ne nestane. Kost se naknadno fiksira odgovarajućom pločicom i vijcima.
Ova operacija uključuje iste principe kao i TPLO, s rezom na tibiji kako bi se omogućila promjena geometrije. Osnovno načelo je da promijenjeni smjer istezanja skupine mišića kvadricepsa proizvodi sile preko zgloba koljena koje neutraliziraju tendenciju bedrene kosti da klizi niz kosinu tibijalnog platoa. I TTA i TPLO imaju za cilj napraviti kut između tibijalnog platoa i patelarne tetive pod pravim kutom, čime se suprotstavlja tendenciji bedrene kosti da klizi niz kosinu tibijalnog platoa. Budući da kost zacjeljuje učinkovitije od ligamenata, ove metode pružaju mnogo veću čvrstoću od metoda popravka ligamenata. Oporavak je puno bolji, psi već 1-3 dana nakon operacije hodaju na bolesnoj nozi. Brz povratak normalnim aktivnostima vrlo je važan za teške pse, atletske pse, pse s blagom hromošću i za pacijente koji imaju bilateralne rupture. Kod takvih se TPLO može izvesti na oba koljena istovremeno. Koja je metoda prikladnija ovisi o individualnim anatomskim karakteristikama životinje. U većini slučajeva obje su metode primjerene.
Preporuča se napraviti artroskopiju kako bi se pregledale ostale strukture u zglobu.
U slučajevima kada je meniskus oštećen, radi se meniskotomija, odnosno odstranjivanje dijela meniskusa. Oporavak meniskusa događa se u posebnim okolnostima.
90% pasa liječenih TTA ili TPLO vraća se normalnim aktivnostima.
To znači da vlasnici više ne primjećuju nikakve znakove šepanja kod kuće.
Radni psi nakon ovih intervencija mogu se vratiti u službu. Pravilnim odabirom operatera prilikom planiranja operacije obje tehnike imaju visok postotak uspješnosti.
Komplikacije su manje nego kada se radi intervencija bočnim šavom.
Dvije najčešće komplikacije su infekcija i mehaničke komplikacije.
Infekcija se liječi antibioticima. U najgorem slučaju, bakterija je na implantatu i tada se implantat mora izvaditi kada kost zaraste. Kod većine pacijenata implantat ostaje doživotno, ne mora se vaditi. Mehaničke komplikacije nastaju kod previše aktivnih pasa u razdoblju dok kost ne zaraste (6 tjedana). Takve se komplikacije obično rješavaju mirovanjem, a ponekad se mora učiniti i revizija.
Rijetke komplikacije uganuća ili iščašenja u predjelu koljenskog zgloba uspješno se rješavaju fizikalnom terapijom.

Patela (čašica koljena) je mala kost koja se nalazi odmah ispod tetive insercijskog dijela mišića kvadricepsa na vrhu tibije. Patela djeluje kao uporište tijekom normalne ekstenzije koljenskog zgloba. Klizi gore-dolje po utoru koji se nalazi u prednjem dijelu zgloba koljena. Kod nekih pasa patela se luksira (iščaši) iz svog normalnog žlijeba.
Posljedice ove luksacije su nemogućnost adekvatne ekstenzije koljenskog zgloba. Budući da je šepanje uzrokovano mehaničkim nedostacima zahvaćenog koljena, stupnjevi boli i osteoartritisa su različiti.
Luksacija patele vrlo je često stanje. Najčešće obolijevaju male pasmine pasa, iako mogu oboljeti i mačke. Klinički se znakovi javljaju u različitim životnim dobima. Većina pasa pokazuje simptome dok su štenci, ali simptomi se mogu pojaviti i kod starih pasa.
Psi s "oksericama" imaju veću predispoziciju za luksaciju patele. Najčešće se uočava karakterističan, "pocupkujući" hod: životinja svakih nekoliko koraka podigne zahvaćenu stražnju nogu a zatim se vraća u normalan hod.
Neke životinje neprestano šepaju, a neke životinje s luksacijom patele na oba koljena imaju ukočen, nespretan hod, jer normalna ekstenzija koljena nije moguća.
Ovo stanje je prvenstveno genetsko i rezultat je selekcije u uzgoju pasa, koja pogoduje pogrešnom položaju nogu. Životinja se rađa s normalnim koljenima, ali se kosti i mišići stražnjih nogu nepravilno razvijaju. Najčešći smjer kretanja patele je prema unutra (medijalno). Snažan mehanizam kvadricepsa nastoji luksirati patelu. Žlijeb u kojem se inače nalazi patela ne razvija se pravilno, a ud se deformira.
Kako se patela pomiče gore-dolje, može doći do oštećenja hrskavice same patele i vrha koji dodiruje tijekom luksacije. To uzrokuje bol i kasnije osteoartritis.
Također, abnormalno povlačenje kvadricepsa uzrokuje unutarnju rotaciju tibije u odnosu na femur, što vrši pritisak na druge strukture u zglobu, kao što je prednji križni ligament. Što je patela dalje izvan utora, to je utor plići.
Luksacija patele dijagnosticira se multimodalnom procjenom specijalista - ortopeda. Luksacija se može dijagnosticirati i na rutinskom veterinarskom pregledu ili kod vrlo čestog "preskakanja" kod hoda tijekom aktivnosti. U našoj poliklinici, uz ortopedski pregled, preporuča se napraviti RTG dijagnostiku u kratkotrajnoj sedaciji. Ovisno o opsegu stanja, može biti potrebna korektivna operacija. Sustav ocjenjivanja luksacije patele temelji se na položaju patele u odnosu na utor na femuru, a ima četiri stupnja:
Luksacija patele najčešće se dijagnosticira spontano tijekom kliničkog pregleda. Kada se radi o slučajnom nalazu kod odraslih pasa, konzervativno liječenje je najbolja opcija.
Kod mladih pasa operacija je najbolja opcija zbog određenih deformacija udova koje nastaju ako se luksacija ne liječi.
Luksacija patele III i IV stupnja apsolutna je indikacija za operaciju.
Kada psi s luksacijom patele II stupnja imaju ozbiljne kliničke simptome, tada se preporučuje operacija.
Operacija se nikada ne preporučuje za stupanj I luksacije patele.
Luksacija patele može uzrokovati abnormalnosti u kosturu, kao što je savijanje bedrene kosti (femura) ili potkoljenične kosti (tibije). U blažim slučajevima često vidimo gubitak hrskavice na pateli i na utoru, kao da je hrskavica mehanički zgnječena s obje kosti. Bolesniku s medijalnom luksacijom patele često pukne prednji križni ligament.
U bolesnika s kliničkim simptomima, najbolje je ne odgađati operaciju.
Osnova konzervativnog liječenja je kontrola tjelesne mase, fizikalna terapija, korekcija aktivnosti, nesteroidni protuupalni analgetici.
Ovaj sustav vrijedi i u postoperativnom tijeku kod operiranih bolesnika, iako je cilj operacije minimizirati upotrebu analgetika i omogućiti normalnu aktivnost.
Kirurško liječenje preporučuje se kod bolesnika s povremenim i stalnim šepanjem kao posljedicom luksacije patele.
Glavni cilj operacije je stvoriti normalan položaj mišića kvadricepsa u odnosu na cijeli ekstremitet. što zahtijeva preoblikovanje kosti i rekonstrukciju mekog tkiva.
Najvažniji dio ovog postupka je pravilan položaj tetive patele. S obzirom na to da kost zarasta brže od tetive, dio kosti na koji je ta tetiva vezana se reže i premješta u odgovarajući položaj i pričvršćuje se za kost te postupno zarasta sljedećih 4-8 tjedana. Često se uz igle postavlja žica koja povlači kvadriceps i stvara ravnotežu između žice koja sjedi na tibiji u suprotnom smjeru.
Kod pasa s velikom zakrivljenošću bedrene kosti provodi se njezina korekcija.To se postiže ekstrakcijom klinastog dijela kosti, ponekad trodimenzionalno, te rekonstrukcijom femura pločom i vijcima. To se najčešće radi kod pasa velikih pasmina i pasa s visokim stupnjem luksacije patele.
Za takve korekcije potrebno je napraviti CT.
Jedan takav rez na kosti omogućuje reangulaciju kosti u svim smjerovima.
Kada je žlijeb u kojem obično leži patela plitak, izvodi se operacija da se utor produbi. Ovaj zahvat uključuje rezanje klinastog dijela kosti, produbljivanje utora i vraćanje klinastog dijela kosti na mjesto. Ponekad kada je potrebno više produbljivanja kosti, umjesto klinastog reza radi se rez kosti.
Kod većine pasa s luksacijom patele, meka tkiva sa strane patele su ili predebela ili pretanka. Rekonstrukcija podrazumijeva otpuštanje zadebljalih vlakana ili otvrdnjavanje tankih. Za operirane pacijente postoperativno razdoblje traje 6 tjedana i uključuje mirovanje i fizikalnu terapiju. U tom razdoblju pacijent dolazi na redovite kontrole kako bismo pratili stanje, a nakon toga se postupno vraća normalnoj aktivnosti koju je imao prije operacije.
Osteochondrosis dissecans je razvojna bolest koja se javlja unutar normalne diferencijacije stanica hrskavice i rezultira neuspješnim enhondralnim okoštavanjem. (Osnovni procesi u fetalnom razvoju koštanog sustava i formiranje kosti).
U brzorastućih pasa, brzi razvoj hrskavice može nadmašiti vlastitu opskrbu krvlju, uzrokujući abnormalni razvoj hrskavice koji rezultira hromošću, boli i posljedičnim osteoartritisom. U nekim slučajevima dolazi do odvajanja promijenjenih dijelova hrskavice od preostalog dijela površine hrskavice.To se naziva osteochondrosis dissecans (OCD). Osteokondroza se može pojaviti u bilo kojem zglobu na tijelu, ali najčešće se javlja u ramenu, laktu, koljenu i tarzusu. Genetski čimbenici najvažniji su uzročnici OKP-a, posebice pasminska predispozicija, ( labradori, zlatni retrieveri, ali i divovske pasmine). Različite pasmine su predisponirane za različita stanja na različitim zglobovima. Primjerice, border collie, doge i irski vučji hrt najčešće imaju problema s ramenom, a bull terijeri, rottweiler i labrador sa skočnim zglobom.
Restrikcije u prehrani ili pretilost u prvih nekoliko mjeseci života, hormonska neravnoteža ili trauma na zglob također povećavaju rizik od OKP-a.
Većina pasa s OKP-om pokazuje kliničke simptome prije prve godine starosti, iako se ponekad, osobito kada je riječ o OKP-u ramena, klinički znakovi mogu pojaviti i kod starijih pasa.
Klinički znakovi su varijabilni i ovise o vrsti zahvaćenog zgloba i veličini defekta hrskavice. Najčešći klinički znakovi su šepanje, ukočenost, otok i bol u zglobu, smanjena aktivnost ili općenito "depresivno" ponašanje.
Dijagnostika OKP-a je multimodalni proces. Prvi u nizu je ortopedski pregled, a zatim RTG snimanja suspektnih zglobova iz više projekcija, pod sedacijom.
OCD se može pojaviti istovremeno s drugim razvojnim bolestima (npr. displazija lakta) i tada pacijentu mogu biti potrebne napredne CT ili MRI dijagnostičke metode.
Kako se OCD počinje razvijati u određenom zglobu; tada se na tom zglobu počinje razvijati osteoartritis (upala zgloba i pripadajućih kostiju). Kada se osteoartritis jednom počne razvijati, ne može se izliječiti, ali se uglavnom može uspješno kontrolirati.
Postoji nekoliko opcija za liječenje osteohondroze skočnog zgloba. Koja je najbolja opcija određuje se za svakog pacijenta nakon dijagnostičkih pretraga.
Može se preporučiti kada su hromost i bol kratkotrajni, iako se rijetko preporučuje kod pasa, osim u slučajevima kada je opća anestezija kontraindicirana (ozbiljna srčana bolest, imunološka stanja).
Preporuča se postizanje odgovarajuće tjelesne težine, smanjenje aktivnosti, protuupalni analgetici, suplementi, fizikalna i hidroterapija.
Kirurško uklanjanje hrskavičnog režnja ostavlja mogućnost da se defekt u sljedećih nekoliko tjedana popuni ožiljkom na hrskavici. Fibrokartilogeni ožiljak manje je jak od zdravog zgloba. Iako to omogućuje da se upala u zglobu riješi u kratkom roku, postoji mogućnost razvoja osteoartritisa. Stoga se ovaj kirurški zahvat preporučuje za vrlo male defekte. S obzirom na to gdje se topografski pojavljuje OCD tarzusa, ako se ne liječi, doći će do ozbiljnog dugotrajnog slabljenja zgloba.
Kutna ili rotacijska deformacija ekstremiteta je patološka nepravilnost u položaju bilo kojeg ekstremiteta. Posljedice kutnih deformiteta su funkcionalni spasticitet kao posljedica nepravilnog držanja i bolno šepanje kao posljedica nesklada zgloba. Najčešći uzrok kutnih deformacija je asinkroni rast kostiju koje rastu jedna uz drugu, pri čemu kost koja rano prestane rasti djeluje kao sidro, uzrokujući savijanje i rotaciju parne kosti koja nastavlja rasti. Uzgajivači nekih pasmina kao što su bulldog, Shih Tzu i Lhasa Apso skloni su favorizirati jedinke s kratkom nogama koje mogu voditi k ovom problemu.
U nekim slučajevima te deformacije postaju pretjerane i uzrokuju funkcionalnu šepavost i bol.
Kod drugih pasmina može doći do kutnih deformacija zbog stalnih traumatskih ozljeda u mladosti. Ako se ove ozljede dogode na jednoj od parnih kostiju tijekom aktivnog rasta, dolazi do preranog zaustavljanja rasta i razvija se kutna deformacija tog ekstremiteta.
Ako vaš pas pripada pasmini koja ima kratke krive noge, neće biti lako identificirati ovaj problem.
Redovne konzultacije s ortopedom tijekom odrastanja psa su od velike važnosti.
Šepanje na jednu ili obje prednje noge je najčešći klinički znak ovog problema.
Kutne deformacije se javljaju i na stražnjim nogama, ali znatno rjeđe nego na prednjim, osim kod jazavčara, kod kojih se kutne deformacije razvijaju podjednako i na prednjim i na stražnjim nogama.
Ako štene ne pripada pasminama s kratkim krivim nogama, a uočeno je savijanje ili rotiranje udova ili šepanje, hitno je potrebno odvesti psa na ortopedski pregled.
Angularni deformiteti su najsloženiji ortopedski problem u pasa.
Dijagnosticiraju se multimodalnim procesom:
Kod pasa s velikim osteohondralnim defektom ili kod pasa s dugotrajnom osteohondrozom se često opaža jaki osteoartritis. U takvim okolnostima se ugrađuje umjetni zglob ili se radi artrodeza - kirurško spajanje kostiju sa svih strana, kako bi se spriječilo bolno kretanje zgloba. Nakon teške traume, ponekad se koristi sustav vanjske fiksacije za stabilizaciju ovog zgloba.
Prioriteti u liječenju su: Ublažavanje boli: ovo se postiže brzim uspostavljanjem normalnnog prilijeganja zglobova. Najčešće se kraća kost, koja se ponaša kao sindro, reže blizu zgloba i omogućuje vraćanje kosti u pravilan položaj.
Korekcija svakog kutnog i rotacijskog položaja: postiže se rezanjem deformiranih kostiju i njihovim pregrupiranjem, tako da susjedni zglobovi savršeno prostorno pristaju. Kosti se fiksiraju u novom položaju pomoću unutarnje (pločice i vijci) ili vanjske fiksacije.
Prevencija daljnjih deformacija s nastavkom rasta: kod nekih mladih životinja sa značajnim potencijalom rasta, segmenti kostiju moraju se ukloniti kako bi se spriječio učinak ponovnog usidrenja nakon uspostavljanja normalnog položaja udova.
Liječenje skraćivanjem udova: kod nekih pasa rani rast utječe na obje kosti u paru. Kod ovih pasa potrebno je napraviti još jednu operaciju gdje se postavlja vanjski fiksator koji olakšava svakodnevnu prilagodbu i omogućuje rast ekstremiteta, tijekom nekoliko tjedana nakon operacije.

